
ಬೆಂಗಳೂರು: ಮೇಲ್ನೋಟಕ್ಕೆ ಸಾಮಾನ್ಯ ವೈರಲ್ ನಿಮೋನಿಯಾ ಕಾಯಿಲೆ ಲಕ್ಷಣ ಹೊಂದಿದ್ದ ಮಹಿಳೆಯಲ್ಲಿ, ತಪಾಸಣೆ ಬಳಿಕ ಅತಿ ಅಪರೂಪದ ಕಾಯಿಲೆಗಳಲ್ಲಿ ಒಂದಾದ ಶ್ವಾಸಕೋಶದ ಗಾಳಿ ಚೀಲದಲ್ಲಿ ಅಸಾಮಾನ್ಯವಾಗಿ ಸಂಗ್ರಹವಾಗುವ ಪ್ರೊಟೀನ್ ನಿಂದುಂಟಾಗುವ ಕಾಯಿಲೆ "ಪಲ್ಮನರಿ ಅಲ್ವಿಯೋಲಾರ್ ಪ್ರೊಟಿನೋಸಿಸ್" ಪತ್ತೆ ಹಚ್ಚಿದ ಸ್ವರ್ಶ್ ಆಸ್ಪತ್ರೆ ವೈದ್ಯರ ತಂಡ, ಅದನ್ನು ಸಂಪೂರ್ಣವಾಗಿ ಗುಣಪಡಿಸುವಲ್ಲಿ ಯಶಸ್ವಿಯಾಗಿದ್ದಾರೆ.
ಶ್ವಾಸಕೋಶ ಶಾಸ್ತ್ರ ವಿಭಾಗದ ಹಿರಿಯ ಸಮಾಲೋಚಕ ಡಾ.ವಿವೇಕ್ ಗುಂಡಪ್ಪ ಮತ್ತು ಸಮಾಲೋಚಕಿ ಡಾ.ಸ್ಮಿತಾ ನರೇಗಲ್ ಈ ಚಿಕಿತ್ಸೆ ನಡೆಸಿದ್ದಾರೆ.
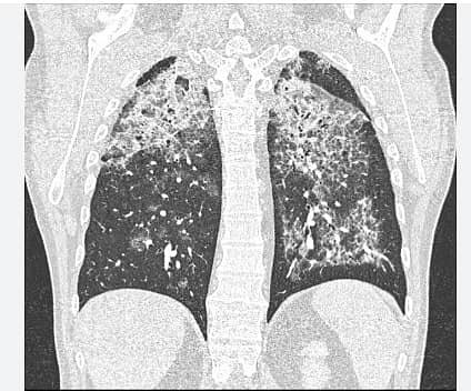
ಈ ಕುರಿತು ಮಾತನಾಡಿದ ಡಾ. ವಿವೇಕ್ ಗುಂಡಪ್ಪ, ಉಸಿರಾಟದ ಸಮಸ್ಯೆಗಳು ಗಂಭೀರವಾದಾಗ ಮೊದಲು ನಿಮೋನಿಯಾ ಇರಬಹುದು ಎಂದೇ ಭಾವಿಸಲಾಗುತ್ತದೆ. ಇದೇ ರೀತಿಯ ರೋಗಲಕ್ಷಣಗಳಾದ ದೀರ್ಘಾವಧಿ ಕಫ, ಉಸಿರಾಟ ಸಮಸ್ಯೆ, ನಿರಂತರ ಆಯಾಸದಿಂದ ಬಳಲುತ್ತಿದ್ದ 39 ವರ್ಷದ ಮಹಿಳೆಗೆ ಮೊದಲು ವೈರಲ್ ನಿಮೋನಿಯಾ ಸೋಂಕಿನ ರೋಗ ಪತ್ತೆ ಮಾಡಲಾಗಿತ್ತು, ಹಲವು ಸುತ್ತಿನ ವೈದ್ಯಕೀಯ ಚಿಕಿತ್ಸೆಯನ್ನೂ ನೀಡಲಾಗಿತ್ತು. ಆದರೆ ದೇಹದ ಸ್ಥಿತಿ ದಿನೇ ದಿನೇ ವಿಷಮಿಸುತ್ತಿದ್ದುದರಿಂದ, ವೈದ್ಯರ ತಂಡ ಎಚ್ಚೆತ್ತುಕೊಂಡು, ಎದೆ ಭಾಗದ ಎಕ್ಸ್ ರೇ ತೆಗೆದಾಗ ಅತ್ಯಂತ ವಿರಳವಾದ ಚಿತ್ರ ಕಂಡಿತು, ಅಷ್ಟೆಅಲ್ಲದೆ, ಸಿಟಿ ಸ್ಕ್ಯಾನ್ ಮಾಡಿದಾಗ ಇದು ನಿಮೋನಿಯಾ ಅಲ್ಲವೆಂಬುದು ವೈದ್ಯರಿಗೆ ಖಾತ್ರಿ ಆಗಿತ್ತು.
ಶ್ವಾಸಕೋಶದ ಚಿತ್ರಣ ಪತ್ತೆಗೆ ಬ್ರಾಂಕೋಸ್ಕೋಪಿ ನಡೆಸಿದಾಗ ಶ್ವಾಸಕೋಶದಲ್ಲಿನ ದ್ರವ ಹಾಲಿನ ರೂಪದಲ್ಲಿದ್ದುದು ಕಂಡು ಬಂದಿತ್ತು. ಇನ್ನೂ ಹೆಚ್ಚಿನ ವಿಶ್ಲೇಷಣೆ ನಡೆಸಿದಾಗ ಪಲ್ಮನರಿ ಅಲ್ವಿಯೋಲಾರ್ ಪ್ರೊಟಿನೋಸಿಸ್ (ಪಿಎಪಿ)ಎಂಬುದು ಖಾತರಿ ಆಗಿತ್ತು.
ಪ್ರೋಟೀನ್ ನಂತಹ ವಸ್ತು ದಟ್ಟವಾಗಿ ಶ್ವಾಸಕೋಶದಲ್ಲಿ ಸಂಗ್ರಹವಾಗಿ ಶ್ವಾಸಕೋಶದ ಸಾಮಾನ್ಯ ಕ್ರಿಯೆಯನ್ನು ಇದು ಅಡ್ಡಿಪಡಿಸುತ್ತಿತ್ತು. ತಕ್ಷಣ ಕಾರ್ಯ ಪ್ರವೃತ್ತರಾದ ನಮ್ಮ ತಂಡ, ಶ್ವಾಸಕೋಶವನ್ನು ಮೊದಲಿಗೆ ಸಂಪೂರ್ಣವಾಗಿ ತೊಳೆದು ಸ್ವಚ್ಛಗೊಳಿಸಿದರು. ದೇಶದ ಕೆಲವೇ ಆಸ್ಪತ್ರೆಗಳಲ್ಲಿ ಈ ವೈದ್ಯಕೀಯ ಚಿಕಿತ್ಸಾ ಸೌಲಭ್ಯವಿದೆ. 17 ಲೀಟರ್ ಉಪ್ಪಿನ ದ್ರಾವಣವನ್ನು ರೋಗಿಯ ಶ್ವಾಸಕೋಶ ಸ್ವಚ್ಛಗೊಳಿಸಲು ಬಳಸಿ ಸಂಪೂರ್ಣ ಶ್ವಾಸಕೋಶವನ್ನ ತೊಳೆದು ಶ್ವಾಸಕೋಶದಿಂದ ಹೊರಬರುವ ದ್ರಾವಣವು ಪೂರ್ಣ ಸಾಮಾನ್ಯವಾಗುವವರೆಗೂ ಈ ಪ್ರಕ್ರಿಯೆ ನಡೆಸಿ ರೋಗಿ ಚೇತರಿಸುವಂತೆ ಮಾಡಲಾಯಿತು ಎಂದರು.
ಎಲ್ಲ ನಿಮೋನಿಯಾ ರೀತಿಯ ರೋಗ ಲಕ್ಷಣಗಳು ನಿಮೋನಿಯಾ ಆಗಬೇಕೆಂದಿಲ್ಲ ಎಂಬುದಕ್ಕೆ ಈ ಅಪರೂಪದ ಪ್ರಕರಣ ಸಾಕ್ಷಿಯಾಗಿದೆ. ಹಲವು ಶ್ವಾಸಕೋಶ ಸಮಸ್ಯೆಗಳು ನಿಮೋನಿಯಾ ಲಕ್ಷಣಗಳನ್ನು ಅನುಕರಿಸುತ್ತವೆ ಜೊತೆಗೆ ಅತ್ಯಂತ ಆಳವಾದ ರೋಗ ಪತ್ತೆ ವಿಧಾನದ ಅಗತ್ಯತೆಯ ಕುರಿತು ಸಂಶಯವೇ ಬಾರದಂತೆ ಪೀಡಿಸುತ್ತದೆ. ಆದರೆ ತಜ್ಞ ಮತ್ತು ಸಕಾಲಿಕ ವೈದ್ಯಕೀಯ ನಿರ್ಧಾರಗಳು ನಿಖರ ರೋಗಪತ್ತೆಗೆ ಸಹಾಯಕವಾಗುವುದಲ್ಲದೇ ರೋಗಿಗೆ ಅಗತ್ಯವಿರುವ ಚಿಕಿತ್ಸೆ ಮೂಲಕ ಗುಣಮುಖರಾಗುವಂತೆ ಮಾಡಲು ಸಹಾಯವಾಗುತ್ತದೆ ಎಂದರು. ಚಿಕಿತ್ಸೆ ಬಳಿಕ ರೋಗಿಯ ಉಸಿರಾಟವೂ ಸುಧಾರಣೆಗೊಂಡಿತು ಮಾತ್ರವಲ್ಲ ಆಮ್ಲಜನಕದ ಪ್ರಮಾಣದಲ್ಲೂ ಸುಧಾರಣೆಗೊಂಡಿತು ಎಂದರು.
ಸಂಪೂರ್ಣ ಶ್ವಾಸಕೋಶವನ್ನು ದ್ರಾವಣ ಬಳಸಿ ಸ್ವಚ್ಛಗೊಳಿಸುವುದಕ್ಕೆ ಅತ್ಯಂತ ಹೆಚ್ಚಿನ ನಿಗಾ ಮತ್ತು ಚಿಕಿತ್ಸಾ ತಂಡದ ಸಮನ್ವಯ ಅಗತ್ಯತೆ ಇದೆ ಎಂದು ಡಾ.ಸ್ಮಿತಾ ನರೇಗಲ್ ಅಭಿಪ್ರಾಯಪಟ್ಟರು.
ಪ್ರಜಾವಾಣಿ ಆ್ಯಪ್ ಇಲ್ಲಿದೆ: ಆಂಡ್ರಾಯ್ಡ್ | ಐಒಎಸ್ | ವಾಟ್ಸ್ಆ್ಯಪ್, ಎಕ್ಸ್, ಫೇಸ್ಬುಕ್ ಮತ್ತು ಇನ್ಸ್ಟಾಗ್ರಾಂನಲ್ಲಿ ಪ್ರಜಾವಾಣಿ ಫಾಲೋ ಮಾಡಿ.